技术服务
技术简介:
染色质免疫共沉淀技术(Chromatin Immunoprecipitation,ChIP)也称结合位点分析法,是研究体内蛋白质与DNA相互作用的有力工具,通常用于转录因子结合位点或组蛋白特异性修饰位点的研究。本实验的原理是在活细胞状态下通过化学交联剂将蛋白质—DNA复合物固定,并将其随机打断成一定长度范围内的染色质小片段,然后通过免疫学的方法沉淀出目的蛋白质—DNA复合体,从而特异性地富集与目的蛋白相结合的DNA片段,通过PCR扩增的方式检测与蛋白质结合的DNA序列。随着第二代测序技术的逐步完善和成熟,将ChIP与第二代测序技术相结合的ChIP-Seq技术,能够高效地在全基因组范围内检测与组蛋白、转录因子等互作的DNA区段,从而完善基因调控网络研究。
应用范围:
1、检测和转录因子结合的順式作用元件或结合区域;
2、基因组水平上检测转录因子可能结合的顺式作用元件。
公司优势:
1、自研染色质提取裂解液,提高染色质提取效率和杂质去除;
2、针对不同物种进行超声预实验,保证得到合适的DNA片段;
3、可测试不同种类的商业化和自制IP抗体。
服务流程:
咨询下单—实验信息确认—样本交联和染色质抽提—ChIP和检测—结果交付。
结果交付:
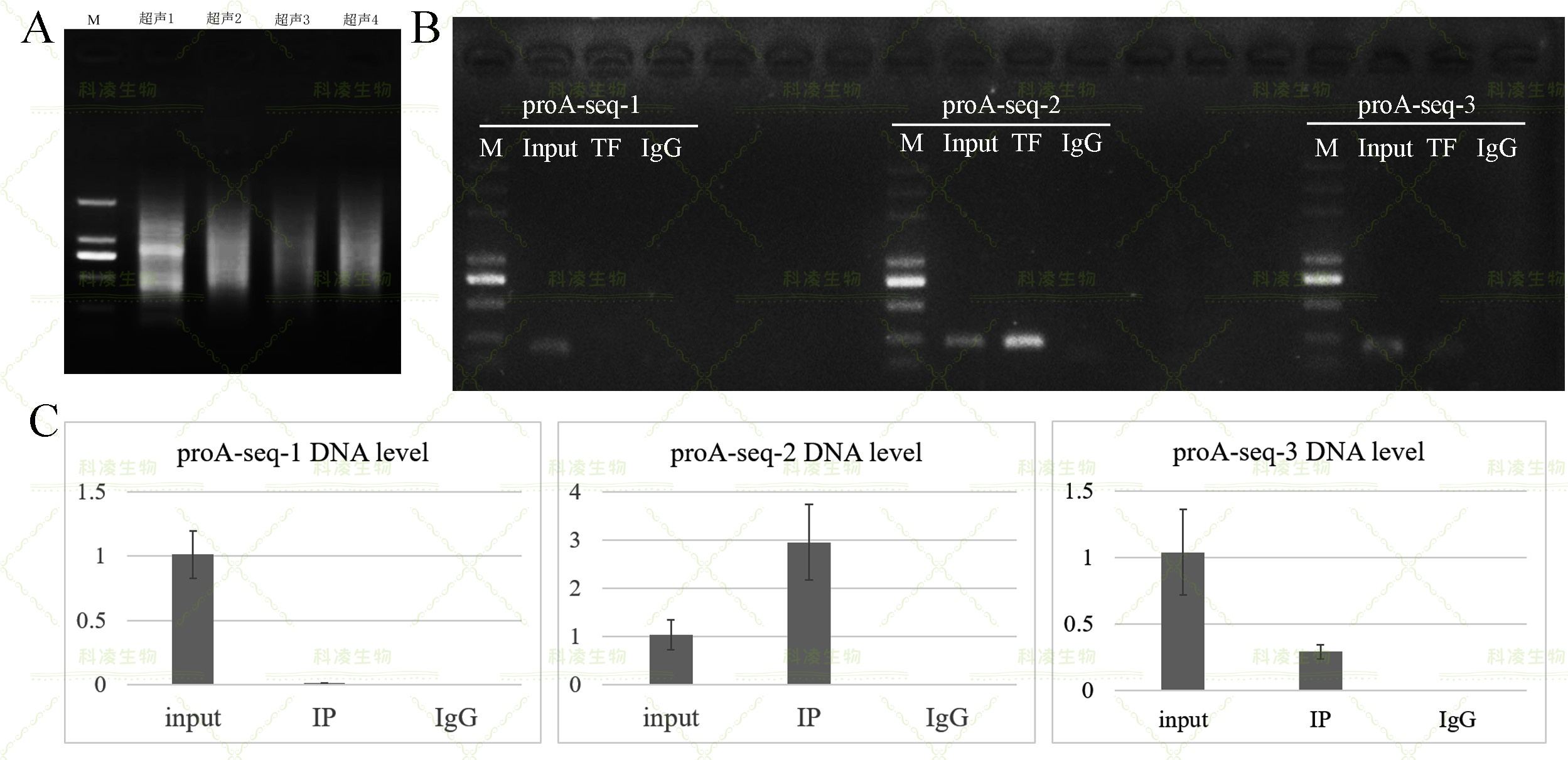
标准实验报告,包括实验步骤与结果;
染色质超声电泳图、IP后PCR检测和定量PCR。
送样要求:
ChIP实验组织样本需要干冰寄送,且质量不少于10g;
告知蛋白标签/特异性抗体信息,特异抗体提供10ul以上,浓度大于0.5mg/ml;
特异性抗体需要干冰寄送。
本司服务案例:
